Beyin Metastazı Özellikleri ve Faydaları Nelerdir?
Beyin metastazı, kanserin vücudun diğer bölgelerinden beyne yayılmasıdır. Bu durumun özellikleri, nedenleri, belirtileri, tanı yöntemleri ve tedavi seçenekleri hakkında bilgi verir. Erken tanı ve uygun tedavi, hastaların yaşam kalitesini artırabilir. Multidisipliner yaklaşımlar önemlidir.
Beyin metastazı, kanserin vücudun diğer bölgelerinden beyne yayılması durumunu ifade eder. Bu durum, genellikle primer (ilk) tümörlerin metastaz yapmasıyla oluşur ve çeşitli kanser türleri, beyin metastazına neden olabilir. Bu makalede, beyin metastazının özellikleri, nedenleri, belirtileri, tanı yöntemleri ve tedavi seçenekleri ele alınacaktır. Beyin Metastazının Özellikleri Beyin metastazı, çeşitli özelliklere sahip olabilir. Bu özellikler, metastazın kaynağına, hastanın genel sağlık durumuna ve beyin dokusunun etkilenen alanına bağlı olarak değişiklik gösterebilir. Aşağıda, beyin metastazının bazı temel özellikleri listelenmiştir:
Beyin Metastazının Nedenleri Beyin metastazı, birçok farklı kanser türünden kaynaklanabilir. En yaygın nedenler arasında şunlar bulunmaktadır:
Beyin Metastazının Belirtileri Beyin metastazının belirtileri, tümörlerin boyutu ve konumuna bağlı olarak değişir. Genel olarak, aşağıdaki belirtiler gözlemlenebilir:
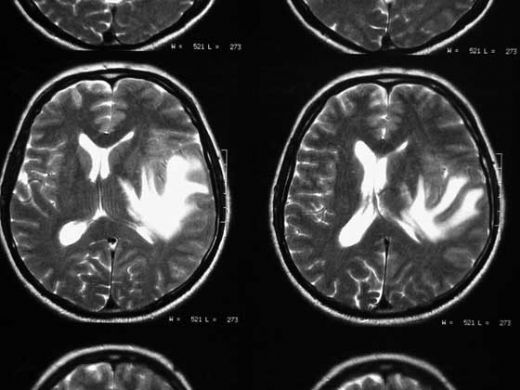
Beyin Metastazının Tanı Yöntemleri Beyin metastazının tanısı, çeşitli yöntemlerle konulabilir. Bu yöntemler arasında:
Beyin Metastazının Tedavi Seçenekleri Beyin metastazının tedavisi, tümörlerin sayısına, boyutuna ve hastanın genel sağlık durumuna bağlı olarak değişir. Tedavi seçenekleri şunlardır:
Sonuç Beyin metastazı, ciddi bir sağlık sorunudur ve tedavi süreci karmaşık olabilir. Erken tanı ve uygun tedavi yöntemleri, hastaların yaşam kalitesini artırabilir ve prognozlarını iyileştirebilir. Beyin metastazı hakkında daha fazla bilgi edinmek ve tedavi seçeneklerini değerlendirmek için bir sağlık uzmanıyla görüşmek önemlidir. Ekstra Bilgiler Beyin metastazı, günümüzde önemli bir araştırma konusudur. Yeni tedavi yöntemleri ve erken tanı teknikleri üzerinde yapılan çalışmalar, hastaların yaşam sürelerini uzatmayı ve yaşam kalitelerini artırmayı amaçlamaktadır. Ayrıca, multidisipliner bir yaklaşımın benimsenmesi, onkoloji, nöroloji ve radyasyon onkolojisi uzmanlarının iş birliği ile daha etkili tedavi sonuçları elde edilmesine olanak tanımaktadır. |






































Beyin metastazı hakkında oldukça detaylı bir bilgi verilmiş. Bu durumun ne kadar yaygın olduğunu ve hangi kanser türlerinin beyin metastazına neden olabileceğini öğrenmek beni düşündürdü. Özellikle akciğer, meme ve böbrek kanserlerinin bu konuda öne çıktığını bilmek önemli. Kafa içi basıncının artması gibi belirtilerin, beyin metastazı olan hastalarda sık görüldüğünü duymak gerçekten endişe verici. Ayrıca, tedavi seçeneklerinin çeşitliliği, hastaların durumuna göre değişiklik göstermesi, tedavi sürecinin ne kadar karmaşık olabileceğini gösteriyor. Beyin metastazı tanısı koymanın zorluğu ve tedavi yöntemlerinin çeşitliliği beni bu alandaki gelişmeler hakkında daha fazla bilgi edinmeye yönlendiriyor. Bu konuda daha fazla bilgi edinmek, belki de bu hastalığı yaşayan bireyler veya yakınları için faydalı olabilir. Sizce beyin metastazı ile ilgili başka hangi konulara dikkat edilmesi gerekir?
Beyin Metastazının Yaygınlığı
Beyin metastazları, kanserin en yaygın komplikasyonlarından biridir. Genel olarak, kanser hastalarının yaklaşık %20-40'ında beyin metastazı görülmektedir. Bu oran, kanserin türüne ve evresine bağlı olarak değişiklik gösterebilir.
Hangi Kanser Türleri Metastaza Neden Olur?
Akciğer, meme ve böbrek kanserleri, beyin metastazı riski en yüksek olan kanser türlerindendir. Ayrıca, melanoma, baş-boyun kanserleri ve kolon kanseri de beyin metastazıyla ilişkili olabilir. Bu türlerin erken teşhisi, hastaların yaşam kalitesini artırmak açısından oldukça önemlidir.
Belirtiler ve Tanı
Kafa içi basıncın artması, baş ağrıları, nörolojik belirtiler (görme bozuklukları, denge kaybı gibi) beyin metastazı olan hastalarda sıkça görülen belirtilerdir. Bu belirtilerin varlığı, genellikle hastaların tanı sürecini hızlandırır, ancak tanı koymak bazen zorlayıcı olabilir. Görüntüleme yöntemleri (MR, BT) bu süreçte kritik rol oynar.
Tedavi Seçenekleri
Beyin metastazı tedavisi, hastanın genel sağlık durumu, metastazın sayısı ve büyüklüğü gibi faktörlere bağlı olarak değişir. Cerrahi, radyoterapi, kemoterapi ve immünoterapiler gibi çeşitli tedavi yöntemleri mevcuttur. Tedavi sürecinin karmaşıklığı, multidisipliner bir yaklaşım gerektirir.
Dikkat Edilmesi Gereken Diğer Konular
Beyin metastazı olan bireylerin psikolojik destek alması, tedavi süreçlerinde önemli bir yere sahiptir. Ayrıca, hastaların ve yakınlarının hastalık hakkında bilgi edinmesi, tedavi sürecinde daha bilinçli hareket etmelerini sağlar. Destek grupları ve danışmanlık hizmetleri de bu süreçte faydalı olabilir. Beyin metastazları ile ilgili gelişmeleri takip etmek, yeni tedavi yöntemleri hakkında bilgi sahibi olmak ve erken teşhis için düzenli kontrol olmak son derece önemlidir.